Qu’est-ce qu’un bridge dentaire ?

Un bridge dentaire est une solution prothétique fixe permettant de remplacer une ou plusieurs dents manquantes en s’appuyant sur les dents voisines ou sur des implants. Il est conçu pour restaurer l’esthétique du sourire et la fonction masticatoire, tout en offrant une alternative durable aux prothèses amovibles. Grâce aux matériaux modernes comme la céramique ou la zircone, le bridge s’intègre naturellement à la dentition pour un résultat discret et harmonieux.

Prothèse dentaire à Noirmoutier

Les avantages du bridge dentaire

Le bridge est une solution fiable et confortable qui permet de remplacer des dents absentes sans avoir recours à un dentier amovible. Il offre une stabilité optimale, une mastication efficace et un rendu esthétique proche des dents naturelles. Contrairement aux implants unitaires, il ne nécessite pas toujours de chirurgie si les dents adjacentes sont suffisamment solides pour le soutenir. De plus, il préserve l’alignement dentaire en évitant le déplacement des dents restantes.

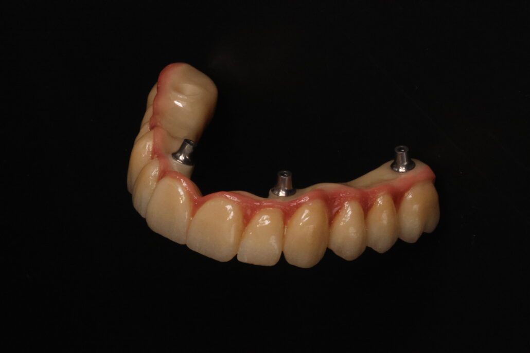
Bridge complet sur implant

Pour les patients qui ont perdu plusieurs dents ou qui sont totalement édentés, le bridge complet sur implant constitue une alternative performante aux prothèses amovibles. Fixé sur des implants dentaires solidement ancrés dans l’os de la mâchoire, ce type de bridge offre une stabilité incomparable, sans risque de mouvement ni besoin de colle adhésive. Il permet de retrouver un confort optimal au quotidien et une mastication similaire à celle des dents naturelles.
Retour en haut